Logo
Menu

Notícias

image
Imagem 1
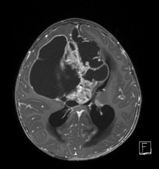
Complicações neurológicas da Fludarabina

12/04/2024 12:00

Ler Mais
Imagem 2
Intoxicação pelo metotrexate

12/04/2024 12:00

Ler Mais
Imagem 3
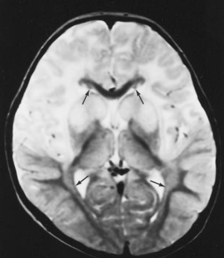
A intoxicação por monóxido de carbono (CO)

12/04/2024 12:00

Ler Mais
Imagem 4
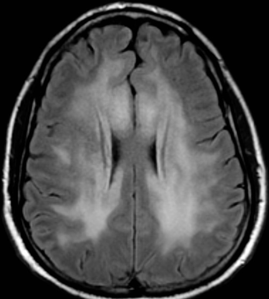
5-fluorouracil (5-FU) e fludararabine

12/04/2024 12:00

Ler Mais
Imagem 5
Adrenoleucodistrofia

11/04/2024 12:00

Ler Mais
Imagem 6
Doença de Canavan

11/04/2024 12:00

Ler Mais
Imagem 7
Doença de Alexander

11/04/2024 12:00

Ler Mais
Imagem 8
A doença de Pelizaeus-Merzbacher

11/04/2024 12:00

Ler Mais
Imagem 9
Tubulinopatias

11/04/2024 12:00

Ler Mais
Imagem 10
Encefalopatia de Wernicke

11/04/2024 12:00

Ler Mais
Imagem 11
Encefalopatia hepática crônica

11/04/2024 12:00

Ler Mais
Imagem 12
Tumores embrionários com rosetas em múltiplas camadas (ETMR)

06/04/2024 12:00

Ler Mais